医院动态
最新信息
命悬一线!多学科团队协作,成功救治急性上消化道大出血患者
近日,我院八东胃肠血管外科成功救治一名因急性上消化道大出血而命悬一线的患者。在潘书贵副院长领导的八东手术团队及医院多部门的通力协作下,患者转危为安并顺利康复出院。此例重症患者的成功救治,充分彰显了我院在急危重症诊治领域的雄厚实力,以及多学科协作(MDT)的无缝衔接能力。
53岁的瞿先生3天前无明显诱因出现数次黑便,虽量少,但典型的柏油样便已释放出不良信号。入院前病情骤然加剧,其突然大量呕血,伴严重头晕、乏力,生命体征不稳。家属紧急将其送至我院急诊,经快速诊断,瞿先生以“上消化道出血”被紧急收治入八东胃肠血管外科。
时间就是生命!入院后,医疗团队迅速响应。总院内镜中心主任李亚兰凭借丰富的临床经验判断,需立即实施急诊内镜检查,以明确出血点并开展止血治疗。在内镜室团队的密切配合下,李亚兰主任娴熟操作胃镜,很快在患者胃部发现活动性出血灶,并成功实施内镜下止血,为后续治疗赢得宝贵时间。
返回病房后,治疗并未停歇。医疗团队严格遵照医嘱,立即为患者开展输血、补液扩容等对症支持治疗,稳定其生命体征。期间,韩胜红护士长带领护理团队严密监测病情变化,精准执行每一项医嘱,同时给予患者及家属专业的心理疏导和健康宣教,为患者康复奠定重要基础。
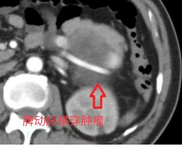
患者病情初步稳定后,查明出血根源成为彻底治愈的关键。进一步检查证实,此次险情的“元凶”是一枚直径约15cm的胃巨大肿瘤——该肿瘤包绕脾脏血管、压迫胰腺,如何在手术中保留脾脏和胰腺是一大难题,手术难度系数极高。
经过周密的术前准备,住院第六日,由潘书贵副院长牵头的八东外科手术团队为患者实施“胃肿瘤切除术”。手术团队技术精湛、操作精准,在麻醉科、手术室团队的全力护航下,手术顺利完成。不仅完整切除肿瘤,彻底消除再次出血风险,还成功保留了脾脏与胰腺,实现了医师和患者的双重满意。
术后,在八东医生团队的精准治疗与护士团队的精心护理下,瞿先生恢复迅速,未出现任何并发症,不久便康复出院。出院时,瞿先生及家属难掩感激之情,特意感谢定远县总医院医疗团队带来的优质治疗效果。
此次救治的成功,凝聚着多学科团队的集体智慧与协作力量。衷心感谢血库高效保障血液供应、手术室与麻醉科筑牢手术安全防线、内镜室助力及时止血,正是多个团队的无间协作与紧密配合,才共同打赢了这场生命保卫战,守护了患者的健康与幸福!
来源 | 外科八东
作者 | 王韫
初审 | 鲁 静
审核 | 陈 娟
审签 | 杨 华


返回病房后,治疗并未停歇。医疗团队严格遵照医嘱,立即为患者开展输血、补液扩容等对症支持治疗,稳定其生命体征。期间,韩胜红护士长带领护理团队严密监测病情变化,精准执行每一项医嘱,同时给予患者及家属专业的心理疏导和健康宣教,为患者康复奠定重要基础。
患者病情初步稳定后,查明出血根源成为彻底治愈的关键。进一步检查证实,此次险情的“元凶”是一枚直径约15cm的胃巨大肿瘤——该肿瘤包绕脾脏血管、压迫胰腺,如何在手术中保留脾脏和胰腺是一大难题,手术难度系数极高。
经过周密的术前准备,住院第六日,由潘书贵副院长牵头的八东外科手术团队为患者实施“胃肿瘤切除术”。手术团队技术精湛、操作精准,在麻醉科、手术室团队的全力护航下,手术顺利完成。不仅完整切除肿瘤,彻底消除再次出血风险,还成功保留了脾脏与胰腺,实现了医师和患者的双重满意。
术后,在八东医生团队的精准治疗与护士团队的精心护理下,瞿先生恢复迅速,未出现任何并发症,不久便康复出院。出院时,瞿先生及家属难掩感激之情,特意感谢定远县总医院医疗团队带来的优质治疗效果。
此次救治的成功,凝聚着多学科团队的集体智慧与协作力量。衷心感谢血库高效保障血液供应、手术室与麻醉科筑牢手术安全防线、内镜室助力及时止血,正是多个团队的无间协作与紧密配合,才共同打赢了这场生命保卫战,守护了患者的健康与幸福!
来源 | 外科八东
作者 | 王韫
初审 | 鲁 静
审核 | 陈 娟
审签 | 杨 华
2025-09-30 15:51:29
浏览人次: 3960
